Weight Loss
5 Advantages of Green Smoothies
You must have heard a lot of people talk about green smoothies and all their health benefits. Why do so many people nowadays love...
Four-Day Sauerkraut Diet Regulates Weight And Protects Health
A four-day diet based on this vegetable regulates weight and protects health, and comes from the east
Sauerkraut is an ideal product for people who...
MUST READ
Running For Weight Loss: Six Facts You Should Know
Because of the intense physical demands, running is proven to be an effective way to lose weight. And to some people, losing weight is...
Calcium Water For Leg Cramps, Strengthening Bones And Teeth
This useful product is truly unique: it suits most people, from the earliest age to old age, and has fantastic healing properties. Read what...
6 Foods That Have More Vitamin C Than Lemon
The spring and summer often comes with lots of avitaminosis: many feel fatigue, daily drowsiness, and irritability. To keep the body in full force,...
10 Deadly Habits That Seriously Damage Your Kidneys
Our kidneys are super important for the body health. They filter our blood, produce hormones, absorb minerals, produce urine, eliminate toxins, and neutralize acids....
Coconut Oil Is Becoming Known As The “Miracle” Dental Bacteria Killer
Searching for a contrasting option to toothpastes stacked with sulfates and other dangerous fixings, for example, fluoride? Standard science has now completely perceived the...
10 Amazing Benefits of Pink Himalayan Salt
Imagine everyone is been gathered for a big family meal. The best china set gently upon silk cloth, crystals brimming with fresh apple-cinnamon-ginger juice. An...
FITNESS
What Aloe Vera Does To Your Body: Why The Egyptians Called it The Plant of Immortality
There are 300 or more different species of Aloe. The most prominent variety, Aloe barbadensis,...
Warning to All Cell Phone Users! This is The Worst Place to Store Your Phone
https://www.youtube.com/watch?v=wNNSztN7wJc
In the event that you thoroughly consider the jury's still on whether phones can be...
What Happens To The Body After Putting on Nail Polish?
Even the most health-conscious people can fail to consider how nail polish is affecting their...
Four Reasons You Should Never Put Petroleum Jelly on Your Skin
Oil Jelly, the fundamental fixing in Vaseline, is frequently utilized as a part of excellence...
This Woman Managed To Remove Her Wrinkles In a Matter Of Hours Only With This Elixir of Youth
There are different things that people can control, technology has allowed us to have different...
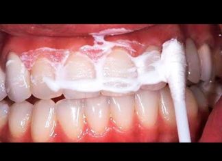
These 3 Drops Heal Cavities and Remove All Tartar From Teeth...
Everyone wants to have the opportunity to leave the best first impression possible, but for this they must have something that many call the...
LATEST POSTS
Top 30 Flowers For Bees
1
Universe (HHA) is a yearly bloom effectively raised from seed. It's likewise one of the simple best for the honey bee. Develop it in...
Drop Toxic Sanitizers! They Cause the Skin to Absorb 100 Times...
What's one thing that relatively every American bears – a little container of hand sanitizer. On the off chance that you imagine that hand...
One of the Most Alkalizing Fruits in Existance – Alkalize Your...
Dried figs (anjeer) are available throughout the year. Figs grow on the ficus carica tree which belongs to the mulberry family. Dried figs are...

























